L’usure dentaire est une situation particulièrement commune, prenant racine dans nos habitudes de vie et nos gestes d’hygiène bucco-dentaire. Entre gestes de prévention et traitements personnalisés, découvrez comment cette situation peut être évitée et prise en charge par votre dentiste le cas échéant.

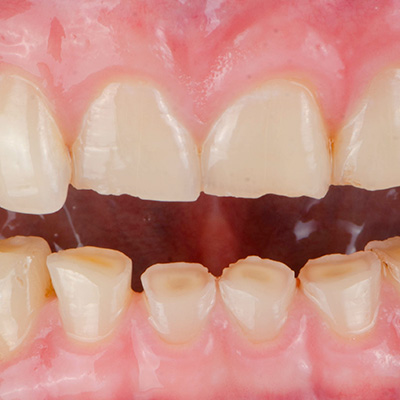
L’usure dentaire peut avoir deux causes principales : l’excès d’apports acides en bouche ainsi que les actions mécaniques liées à de mauvaises habitudes quotidiennes.
L’acidité est ainsi l’un des principaux facteurs favorisant la détérioration de l’émail, qui est attaqué et rongé par certains aliments, boissons ou situations pathologiques. On peut par exemple citer :

Aussi, plusieurs actions mécaniques ou habituelles favorisent l’usure dentaire :

Il est essentiel de rappeler, à ce stade, que l’acidité en bouche peut également être engendrée par les bactéries accumulées sur la plaque dentaire. Ces bactéries utilisent les sucres présents dans les aliments et les boissons consommés synthétiser des acides, responsables de la déminéralisation de l’émail, et donc de l’usure dentaire.
Pour réduire le risque d’accumulation de plaque, il est alors nécessaire d’adopter de bonnes habitudes d’hygiène bucco-dentaire. Il est ainsi essentiel de se brosser les dents au minimum deux fois par jour avec une brosse à dent adaptée et des gestes efficaces. Ce nettoyage quotidien doit être complété par l’usage de brossettes et de fil dentaire, permettant de retirer les débris alimentaires logés entre les interstices des dents.

Les aliments sucrés et acides ne sont bien évidemment pas à bannir complètement de votre alimentation. Il est simplement nécessaire de prêter attention à la quantité ingérée et d’intégrer autant que possible ces prises alimentaires aux trois repas principaux de la journée. Les grignotages ont un effet dévastateur sur l’émail dentaire, car ils apportent une nouvelle source d’acidité en bouche qui ne peut être retirée qu’au prochain brossage, soit seulement plusieurs heures plus tard. Les bactéries auront donc tout le loisir de synthétiser de l’acidité, responsable de l’usure dentaire.
Il est préférable d’opter pour une brosse à dents comprenant des poils de 15 ou 18/100ème de millimètre et de ne pas appuyer trop fortement sur les dents au moment du brossage. Un rendez-vous chez votre dentiste est l’occasion idéale pour aborder ce sujet et bénéficier de conseils de brossage adaptés à vos besoins.
Les personnes sujettes au bruxisme (grincement dentaire) sont généralement touchées par l’usure dentaire à des stades d’avancement différents, car l’émail s’abîme au fil du temps, à mesure que les dents du haut et du bas glissent constamment les unes contre les autres. Trois options peuvent alors être envisagées selon les particularités de chaque situation :
Précisons que les gouttières, si elles permettent effectivement de protéger l’émail de l’usure, demeurent des dispositifs de prévention. La recherche de la cause du bruxisme et la mise en place d’un traitement adapté sont incontournables.

Si les dents ont été usées par le bruxisme, il est possible de procéder à une analyse neuromusculaire au cabinet de votre dentiste afin de découvrir la quantité ainsi que l’emplacement exact de la matière manquante. Cette analyse, comme précisé précédemment, permet à votre dentiste de découvrir la position idéale des mâchoires, et de vous proposer des solutions de traitement visant à les replacer convenablement.
Le port de la gouttière nocturne, réalisée à partir de la position idéale des mâchoires, permet non seulement de protéger les dents du bruxisme, mais également de favoriser la relaxation musculaire des mâchoires. Puisque les muscles sont davantage détendus, le risque de grincer des dents durant la nuit est considérablement réduit.
Pour profiter de la décontraction permanente des muscles des mâchoires, il est possible d’ajouter de la matière sur les dents usées situées à l’arrière de la bouche, à l’aide de pièces en céramique. À l’avant de la bouche, la pose de facettes ou de couronnes permet de recréer une esthétique symétrique et un sourire naturel.

Lorsque l’usure dentaire provient d’un brossage trop fort, il est possible de constater une remontée de la gencive et un creusement de la dent. Il est donc indispensable de protéger la racine, à présent exposée, et le plus souvent la greffe de gencive s’impose comme la solution la plus adaptée. Votre dentiste prélève alors une petite quantité de gencives au niveau de votre palais puis réalise une greffe afin de protéger les racines mises à nu.
Cette opération comprend de nombreux avantages, dont la réduction de la sensibilité dentaire. Le risque carieux est aussi plus facilement écarté, car des racines dénudées, comprenant moins d’émail que la partie visible des dents, sont plus à même de développer des caries.

Les consultations régulières chez votre dentiste sont absolument indispensables pour permettre un dépistage précoce de l’usure dentaire, mais également pour vous faire bénéficier de conseils de soins personnalisés en fonction de vos habitudes de vie.
Plus tôt les causes de l’usure seront identifiées, plus il sera possible d’y remédier dans les meilleures conditions possibles.

Il est très important que votre enfant intègre le brossage de dents comme un véritable réflexe naturel, pour que cette étape soit parfaitement intégrée dans ses habitudes quotidiennes. Pour cela, les adultes qui l’entourent devront servir d’exemple, en se montrant intransigeants sur leur propre hygiène bucco-dentaire.
Pour apprendre aux enfants à se brosser les dents, la méthode la plus utilisée est celle du miroir : brossez-vous doucement les dents, en vous tenant en face de l’enfant. Celui-ci va alors devoir imiter vos gestes avec sa propre brosse à dents : essayez de rendre ce moment ludique en y intégrant un petit chronomètre coloré. Se brosser les dents est un moment de détente et de soin, celui-ci doit donc paraître le plus agréable possible !

Au moment de choisir une brosse à dent pour votre enfant, privilégiez les brosses à dents électriques, qui lui permettent de se brosser les dents de manière efficace malgré une technique encore peu développée dûe à son jeune âge. Dès ses 4 ans, vous pouvez lui brosser les dents avec votre brosse à dents électrique, avec une petite tête à poils souples. Inutile de vous encombrer d’une brosse électrique “spéciale enfant”. Dès ses 6 ans, votre enfant pourra se servir lui-même d’une brosse à dents électrique, sous votre supervision.
Concernant le choix du dentifrice, pensez également à choisir un produit pour enfants, qui contiendra moins de fluor et qui ne sera pas néfaste pour sa santé si avalé en petite quantité.
N’hésitez pas à consulter votre dentiste pour que celui-ci explique à votre enfant comment se brosser les dents et pour qu’il bénéficie de conseils adaptés à son âge. En fonction de la quantité de plaque dentaire constatée sur les dents de votre enfant au cours de votre consultation, il peut être possible que votre dentiste vous recommande de compléter le brossage quotidien par vos propres soins.