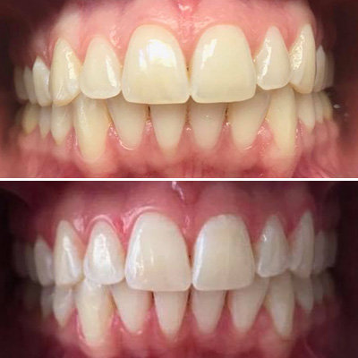
Un traitement de blanchiment est idéal pour vous permettre d’obtenir un sourire plus radieux, avec une teinte dentaire plus claire. Cette méthode ne s’adresse cependant qu’aux dents dites naturelles, les bridges et autres éléments de dentition artificiels ne sont donc pas concernés par ce type de soins.

Diverses méthodes de blanchiment des dents sont envisageables en fonction des spécificités de votre dentition : une dent en bonne santé ne sera pas traitée de la même manière qu’une dévitalisée.
Il est alors possible de procéder à deux types de traitement :
Avant de réaliser les soins de blanchiment, nous programmons une consultation dédiée à l’examen de votre santé bucco-dentaire, afin de déterminer exactement quelle technique privilégier.

Nous réalisons les traitements de blanchiment dentaire directement dans notre cabinet, en multipliant les précautions pour préserver la santé de votre dentition et de vos tissus buccaux.
Lors de cette consultation, votre chirurgien dentiste vous communiquera les quelques recommandations à suivre pour obtenir un résultat optimal :
Votre dentiste vous fera également part de la possibilité d’opter pour une solution plus durable, comme le recours à des facettes créées sur mesure, par exemple. Il s’agit de prothèses en céramique fabriquées à partir du modèle de votre dentition naturelle, qui permettent même de profiter de dents plus régulières et mieux alignées.